Das nMZL ist ein reifzelliges indolentes B Zell Lymphom und zeigt per definitionem keinen splenischen und extranodalen Befall. Nodal marginal zone lymphoma NMZL is a defined separate clinicopathological entity.
Recognizing Nodal Marginal Zone Lymphoma Recent Advances And Pitfalls A Systematic Review Haematologica
It is a slow-growing tumor that is mostly seen in older adults but may affect younger individuals as well.
Nodal marginal zone lymphoma. Nodal marginal zone lymphoma is a B-cell neoplasm originated in the lymph node whose histology resembles the nodal infiltration by MALT- or Splenic-type marginal zone lymphoma in the absence of clinical evidence of extranodal or spleen disease. Whilst it is unlikely NMZL does have the ability to transform into a more aggressive type of lymphoma. Lymphoma B-Cell Marginal Zoneclassification Lymphoma B-Cell Marginal Zonepathology.
To date due to the rarity of NMZL the vast majority of already-published studies have been conducted on a limited number of samples and the technical approach to analyze the immunoglobulin genes was of amplifying rearranged variable region genes with the classical direct. Nodal MZL sometimes called monocytoid B-cell lymphoma occurs within the lymph nodes and accounts for about 10 percent of all MZL cases. Das extranodale Marginalzonenlymphom häufig auch als MALT - Mukosa Associated Lymphatic Tissue Lymphom bezeichnet das splenische und das nodale Marginalzonenlymphom.
The clinical course is slow and similar to non-curative low-grade lymphomas. Comment on Am J Surg Pathol. Occurs in lymph nodes and accounts for approximately 10 of all MZL cases.
Nodal marginal zone lymphoma which develops in lymph nodes MALT lymphoma also known as extranodal marginal zone lymphoma which develops in lymphoid tissue outside lymph nodes splenic marginal zone lymphoma which develops in the spleen. Nodal marginal zone lymphoma Nodal marginal zone lymphoma is a rare slow-growing indolent B-cell non-Hodgkin lymphoma NHL. There are three types of marginal zone lymphoma.
Marginal Zone Lymphoma Subtypes. Primary breast lymphoma PBL. Marginal zone lymphoma MZL is classified as a group of slow-growing non-Hodgkins B-cell lymphomas.
The lack of characteristic phenotypic or molecular. 10680906 PubMed - indexed for MEDLINE Publication Types. Nodal marginal zone lymphoma.
67 of marginal zone B cell lymphomas in children young adults up to age 29 years are nodal usually involving head and neck nodes 80 male usually no underlying disease Excellent prognosis with low risk of recurrence. It can change into a fast-growing aggressive type of NHL. Splenic MZL occurs most often in the spleen and blood.
Nodal marginal zone lymphoma NMZL is a defined separate clinicopathological entity. How does nodal marginal zone lymphoma affect the body. Das nodale Marginalzonen - Lymphom nMZL bildet mit dem extranodalen und splenischen Marginalzonenlymphom die Gruppe der Marginalzonenlymphome.
Extranodal marginal zone lymphoma EMZL a unique type distinguished from other nodal B-cell lymphomas constitutes 7 to 8 of newly diagnosed lymphomas. It involve lymphomas that share common peripheral and paraaortic lymphadenopathies more frequently seen in an advanced stage due to bone marrow involvement. It has been associated with hepatitis C virus HCV infection.
Nodal marginal zone lymphoma NMZL is often referred to as monocytoid B-cell lymphoma and is usually slow-growing. Nodal marginal zone lymphoma usually only affects the lymph nodes. NMZL is a B-cell neoplasm originated in the lymph node whose histology resembles the nodal infiltration by mucosa-associated lymphoid tissue- or splenic-type marginal zone lymphoma in the absence of clinical evidence of extranodal or spleen disease.
It can arise in various organ sites such as orbit salivary gland thyroid lung breast stomach skin and even the dura among which the gastric involvement is the most frequent and best-studied. Mucosa-associated lymphoid tissue MALT lymphomas first described in the early 1980s represent approximately 8 of all non-Hodgkin lymphomas. Extranodal marginal zone B.
There are three types of MZL. NMZL is a Bcell neoplasm originated in the lymph node whose histology resembles the nodal infiltration by mucosaassociated lymphoid tissue or splenictype marginal zone lymphoma in the absence of clinical evidence of extranodal or spleen disease. Splenic MZL comprises about 20 percent of MZL cases diagnosed each year.
1 2 This condition has been included in the World Health Organization WHO classification of neoplastic diseases of the hematopoietic and lymphoid tissues as a separate entity namely the extranodal marginal zone B-cell lymphoma of mucosa. Nodal Marginal Zone Lymphoma. Unter der Bezeichnung Marginalzonenlymphom MZL werden drei verschiedene Formen von Krebserkrankungen des lymphatischen Systems zusammengefasst.
The precise B cell of origin and molecular pathogenesis of nodal marginal zone lymphoma NMZL remain poorly defined. Nodal Marginal Zone Lymphoma NMZL is a rare type of non-Hodgkins B-cell lymphoma that affects the lymph nodes. Es weist in seinen biologischen Charakteristika Überlappungen zu anderen indolenten B Zell.
Nodal Marginal Zone Lymphoma Nmzl
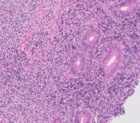
Histopathology Images Of Nodal Marginal Zone Lymphoma By Pathpedia Com Pathology E Atlas
Marginal Zone Lymphomas In Children And The Young Adult Population Characterization Of Genetic Aberrations By Fish And Rt Pcr Modern Pathology
Nodal Marginal Zone Lymphoma Nmzl
Recognizing Nodal Marginal Zone Lymphoma Recent Advances And Pitfalls A Systematic Review Haematologica
Webpathology Com A Collection Of Surgical Pathology Images
Nodal Marginal Zone Lymphoma Nmzl
References In Splenic Marginal Zone Lymphoma A Distinct Clinical And Pathological Entity The Lancet Oncology
Recognizing Nodal Marginal Zone Lymphoma Recent Advances And Pitfalls A Systematic Review Haematologica
Marginal Zone Lymphoma Mzl Flow Cytometry
Pdf Nodal Marginal Zone Lymphoma Associated With Extensive Epithelioid Histiocytes Semantic Scholar
Malt Extra Nodal Marginal Zone Lymphoma Cd20
Marginal Zone B Cell Lymphoma Wikipedia
Nodal Marginal Zone B Cell Lymphoma Basicmedical Key
Histopathology Images Of Nodal Marginal Zone Lymphoma By Pathpedia Com Pathology E Atlas
Histopathology And Immunohistochemistry Of Marginal Zone Lymphoma And Download Scientific Diagram
Histopathology Images Of Nodal Marginal Zone Lymphoma By Pathpedia Com Pathology E Atlas
Four Immunoarchitectural Patterns Of Nodal Marginal Zone Lymphoma A Download Scientific Diagram
Histologic And Immunophenotypic Features Of Pediatric Nodal Marginal Download Scientific Diagram
Cari Blog Ini
Label
- 1000
- 10000
- 1500
- 2015
- 29th
- 5000
- abdominal
- ablation
- about
- acetaminophen
- acetonide
- aches
- achy
- acid
- acne
- active
- acupressure
- acupuncture
- adaptogenic
- adderall
- adhd
- admitted
- adults
- advil
- affect
- affordable
- after
- aftercare
- aggregation
- aids
- alcohol
- alcoholic
- aleve
- alienation
- allegra
- allergic
- allergies
- allergy
- allowance
- almond
- american
- aminos
- amiodarone
- anemia
- anise
- ankle
- ankles
- announce
- anorexics
- anti
- antibiotics
- anticoagulant
- antidepressants
- antigen
- anxiety
- anything
- aortic
- apathy
- apple
- arizona
- armpit
- arms
- around
- arterial
- artery
- arthritis
- ascending
- asleep
- aspergers
- assaulted
- atorvastatin
- attack
- attacks
- autism
- autoimmune
- average
- avoid
- awake
- away
- azelastine
- babassu
- babies
- baby
- babymoon
- babysit
- back
- bacterial
- bagel
- baking
- baldness
- balls
- banana
- bars
- base
- basil
- bath
- bathe
- bcaa
- beach
- beans
- beat
- beer
- before
- begin
- behind
- being
- belly
- benadryl
- bench
- benefits
- best
- between
- biceps
- bigger
- bile
- biometric
- biopsy
- bipolar
- birth
- bismol
- bite
- bites
- biting
- black
- blackhead
- bladder
- bleach
- bleeding
- blisters
- bloating
- block
- blockage
- blockers
- blood
- blue
- body
- boiled
- bone
- boneless
- bosley
- bourbon
- bowels
- brace
- bracelet
- braces
- brain
- branch
- break
- breakfast
- breakthrough
- breast
- breastfeed
- breastfeeding
- breath
- breathe
- bridge
- broken
- broth
- brown
- bruise
- bruised
- bruises
- brush
- bubble
- buck
- bugs
- building
- bulk
- bump
- bumps
- bunches
- bunion
- burger
- burn
- burner
- burning
- bursts
- busted
- butter
- caffeine
- calculator
- calorie
- calories
- cambogia
- canal
- cancer
- carb
- carbonated
- carbs
- care
- carnation
- cartilage
- cartoons
- casein
- castor
- castration
- cause
- causes
- causing
- cavities
- cavity
- cell
- cells
- cervical
- cervix
- chadwickâs
- challenge
- chamomile
- chances
- chapped
- charcoal
- check
- cheese
- chemo
- chest
- chicken
- childhood
- children
- chili
- chills
- chin
- chinese
- chipped
- chips
- chocolate
- chronic
- cider
- cigarette
- cirrhosis
- cities
- citric
- clean
- cleaning
- clear
- clinical
- clogged
- clothing
- clots
- cloudy
- coconut
- coffee
- cold
- colic
- colitis
- collar
- cologuard
- colonoscopy
- color
- coloring
- comfortable
- commit
- common
- complex
- concentrate
- conception
- concussion
- condoms
- confirm
- conjunctivitis
- cons
- consequence
- considered
- constipation
- contagious
- contrast
- control
- coolsculpting
- copd
- copper
- corn
- cornstarch
- corona
- cost
- costs
- cottage
- cough
- coughing
- count
- cover
- coverage
- covered
- cramps
- cranberry
- crawl
- cream
- creamer
- crepey
- cries
- crispy
- crown
- crying
- cucumber
- cumin
- curve
- cycle
- cyst
- cystic
- dairy
- damaged
- dandruff
- dark
- dayquil
- days
- dead
- death
- deep
- dehydration
- delt
- dentures
- depressant
- depression
- dermaroller
- description
- desserts
- detachment
- device
- diabetes
- diabetic
- diabeticorum
- diabetics
- diagnosis
- diaper
- diarrhea
- diastolic
- diatomaceous
- didnt
- diet
- diff
- difference
- diovan
- disability
- disc
- discharge
- disease
- dislodge
- disorder
- dizziness
- dizzy
- doctors
- does
- dogs
- donate
- donating
- dosage
- double
- down
- doxycycline
- drainage
- dreams
- dried
- drink
- drinking
- drinks
- drip
- drooling
- drops
- drug
- drumstick
- drunk
- dual
- duct
- dulcolax
- during
- dying
- dynamic
- dysfunction
- early
- ears
- earth
- easy
- eating
- eczema
- educational
- effects
- effexor
- eggs
- ejection
- electric
- electrolysis
- elevation
- eligibility
- elliptical
- emphysema
- endometriosis
- endurance
- energy
- enhancement
- enlarged
- enlargement
- ensure
- epilator
- epilepsy
- epipen
- epsom
- erectile
- espresso
- essential
- estrogen
- eucalyptus
- every
- exactly
- excedrin
- excessive
- exercise
- exercises
- expectancy
- extensions
- extenze
- extraction
- eyeball
- eyebrows
- eyed
- eyelash
- eyelid
- eyelids
- eyes
- face
- facelifts
- facts
- failure
- fake
- fall
- fast
- faster
- fathers
- fatigue
- features
- feed
- feel
- feeling
- feet
- female
- fertility
- fetal
- fever
- fiberglass
- fibroglandular
- fibroids
- fibromyalgia
- fibrosis
- fillers
- fills
- finger
- fingertip
- first
- fish
- fixing
- flapping
- flashes
- flea
- fleas
- flipper
- floor
- flour
- fluocinolone
- fluoride
- foam
- food
- foods
- foot
- forearm
- forehead
- forhead
- formula
- fraction
- freckles
- free
- freeze
- fridge
- fried
- from
- front
- frozen
- fruit
- fungus
- gain
- gainer
- gallon
- games
- garcinia
- garden
- gastritis
- gear
- gender
- generic
- gerd
- germ
- getting
- giant
- gifts
- ginger
- give
- giving
- glass
- gluten
- glycol
- good
- grade
- greasy
- green
- greenish
- grow
- growth
- gummy
- gums
- guys
- hair
- hairline
- hand
- hands
- happens
- hard
- have
- hctz
- head
- headache
- headaches
- headed
- heal
- healed
- healing
- health
- healthiest
- healthy
- Healtline
- hearing
- heart
- heartburn
- heat
- heavy
- heel
- helmets
- help
- hemorrhoids
- henna
- herbs
- hernia
- herniated
- herpes
- high
- hips
- hives
- hold
- holy
- home
- homemade
- homeopathic
- honey
- honeycrisp
- hormonal
- hormone
- hormones
- hospital
- hour
- human
- hurt
- hurts
- hyclate
- hydrochlorothiazide
- hydrocodone
- hydrogen
- hydromorphone
- hydroxycut
- hyperpigmentation
- identical
- idiopathic
- impingement
- implant
- implants
- impotent
- incontinence
- increase
- induce
- induced
- infarction
- infection
- infections
- inflammatory
- info
- information
- ingredient
- ingrown
- inguinal
- inhaler
- injection
- injections
- inner
- insertion
- instant
- instead
- insurance
- internal
- into
- intolerance
- invasive
- invisalign
- iron
- irregular
- isolate
- itching
- itself
- jacket
- jade
- jelly
- jerky
- joint
- juice
- juicing
- just
- juvederm
- kamut
- karo
- keep
- keflex
- keto
- kick
- kidney
- kids
- kill
- killing
- king
- kiwi
- knee
- krispies
- labor
- lactose
- laser
- last
- late
- lead
- leak
- leaky
- learn
- left
- legs
- lemonade
- lesion
- levothyroxin
- lexapro
- lice
- life
- lift
- ligation
- light
- like
- lime
- lipitor
- liposuction
- lipotropic
- lips
- lipstick
- lisinopril
- list
- live
- liver
- living
- lobster
- long
- loose
- losartan
- lose
- loss
- lower
- lumineers
- lump
- lumps
- lunch
- lung
- lying
- lymph
- lymphoma
- macaroni
- made
- make
- making
- male
- many
- mark
- mask
- mass
- massage
- massager
- mattresses
- maximum
- mayo
- mayonnaise
- mcdonalds
- meal
- meals
- mean
- meaning
- meat
- mederma
- medicare
- medication
- medications
- medicine
- meningitis
- meniscus
- menopause
- metabolism
- metastatic
- metformin
- methicillin
- micro
- microblading
- micropigmentation
- middle
- migraine
- migraines
- milk
- minoxidil
- miracle
- miralax
- mirena
- miscarriage
- miso
- missed
- missing
- moisturizer
- mole
- moles
- mons
- month
- months
- morning
- mortality
- mosquito
- most
- mountain
- mouth
- moving
- mozzarella
- much
- mucinex
- mucus
- multiple
- muscle
- muscular
- mushroom
- myocardial
- myself
- nail
- nails
- narcissist
- nasal
- natural
- naturally
- nausea
- near
- neck
- need
- needling
- negative
- nerve
- nerves
- neuropathy
- newborn
- newborns
- nicotine
- night
- nightmares
- nodal
- nodes
- noodles
- normal
- nose
- novolin
- novolog
- nsaids
- numb
- nutrition
- nuts
- nyquil
- oatmeal
- oats
- oblique
- obstruction
- ocean
- often
- oils
- olive
- onion
- open
- opioid
- optimum
- oral
- orange
- origin
- ortho
- osteoarthritis
- outbreak
- outer
- ovarian
- over
- overdose
- ovulating
- oximetry
- pack
- pain
- palmar
- palmetto
- palms
- palpitation
- pancreas
- pancreatic
- papillomavirus
- para
- parental
- parents
- part
- pasta
- patch
- pattern
- pcos
- peanut
- peas
- peeling
- pelvis
- penile
- people
- peppermint
- percocet
- period
- periodontal
- periods
- peroxide
- person
- personality
- peyronies
- phase
- photos
- physical
- pictures
- piercing
- pill
- pillow
- pillows
- pills
- pilonidal
- pimple
- pimples
- pinched
- pineapple
- pink
- plan
- plans
- plantar
- plasma
- plateau
- platelet
- plug
- plugs
- plum
- plus
- pneumonia
- point
- points
- polish
- polyps
- popping
- popular
- pore
- pose
- poses
- position
- possible
- post
- postpartum
- postures
- potassium
- potato
- pound
- pounds
- powder
- powders
- precautions
- prednisone
- pregnancy
- pregnant
- preparation
- presion
- pressure
- preterm
- pretzel
- prevent
- primary
- prince
- proactive
- probiotic
- probiotics
- procardia
- prognosis
- progressive
- propylene
- pros
- protein
- prozac
- psoriasis
- psoriatic
- pubis
- pudding
- pull
- pulled
- pulling
- pulmonary
- pulse
- purified
- qtips
- quick
- quickly
- quinoa
- quitting
- radiating
- ramen
- rapid
- rash
- rashes
- rate
- rates
- rating
- razor
- reaction
- reactive
- rear
- recipe
- recipes
- recover
- recovery
- reduction
- relationship
- relief
- relieve
- remedies
- remedy
- remission
- removal
- remove
- remover
- removing
- renal
- replace
- replacement
- report
- requip
- resistant
- rest
- restaurants
- results
- retainer
- retainers
- reuse
- reversal
- reverse
- review
- reviews
- rheumatoid
- rice
- right
- rinds
- ringing
- risk
- roll
- rolling
- roof
- room
- root
- round
- runners
- running
- safe
- safflower
- saline
- salt
- salts
- sandwich
- save
- scabies
- scale
- scalp
- scan
- scar
- scarring
- scars
- schedule
- schizophrenia
- sclerosis
- scotch
- screening
- sedation
- seeds
- seizure
- sensation
- sensitive
- sensory
- sentence
- septoplasty
- seroquel
- sesame
- sexually
- shaft
- shakes
- sharing
- shave
- shaving
- sheets
- shingles
- shorten
- shortness
- shot
- should
- shoulder
- show
- showing
- shrink
- sick
- sickness
- side
- sign
- signs
- silica
- silicone
- sinus
- sinusitis
- sitting
- size
- skimmed
- skin
- skittles
- skunk
- skyla
- sleep
- sleeping
- sleepy
- small
- smear
- smell
- smells
- smile
- smiling
- smoke
- smoking
- snack
- snap
- snoring
- soap
- soaps
- soba
- sober
- soda
- sodium
- soles
- solids
- solution
- someone
- sonogram
- soon
- sore
- sores
- soup
- sour
- specialist
- specific
- spermicide
- spider
- spinach
- spine
- spit
- splenda
- splinters
- spot
- spots
- spotting
- sprain
- spray
- spread
- stack
- stage
- stages
- stannous
- staphylococcus
- star
- start
- started
- stay
- stds
- steel
- stem
- stenosis
- stevia
- stimulant
- sting
- stings
- stinks
- stitches
- stomach
- stone
- stones
- stool
- stools
- stop
- stopping
- stories
- straight
- strap
- stream
- strength
- strengthening
- strep
- stress
- stretch
- stretches
- strongest
- stuck
- substitute
- subways
- sudafed
- sugar
- sulfa
- sunburn
- supplement
- supplements
- supported
- supposed
- surfaces
- surgery
- surgical
- survival
- swallowing
- sweating
- swedish
- sweet
- swelling
- swimming
- swings
- swiss
- swollen
- symptom
- symptoms
- syrup
- system
- tablespoon
- tags
- tail
- take
- tamanu
- tampon
- tampons
- tansy
- tape
- taping
- taste
- tattoo
- tears
- teen
- teeth
- teething
- tell
- temporary
- tendonitis
- tenodesis
- terbutaline
- term
- terrors
- test
- testicular
- testing
- testis
- testosterone
- tests
- that
- therapy
- thick
- thicker
- thigh
- thighs
- thinners
- third
- throat
- throats
- throbbing
- thrombosis
- throw
- throwing
- thumb
- thyme
- tibial
- ticks
- tied
- tight
- tightness
- time
- timeline
- tired
- tissue
- toddlers
- toenail
- toenails
- tongue
- tonsil
- tonsillectomy
- tonsillitis
- tooth
- toothache
- toothpaste
- topamax
- topical
- torn
- tortilla
- tract
- transplant
- tratamiento
- trazodone
- treat
- treatment
- treatments
- treats
- tree
- trigger
- trimester
- triplet
- truth
- tuck
- tummy
- tuna
- turbinate
- turkey
- twins
- tylenol
- type
- ulcerative
- ultra
- ultrasound
- umbilical
- under
- underwear
- undigested
- unisom
- units
- untreated
- upper
- urinary
- urine
- uterus
- vaccine
- vaginal
- valtrex
- valve
- vapor
- variability
- varicose
- vasectomy
- vegan
- vegans
- vegetable
- vein
- veins
- veneer
- veslcare
- viagra
- vinegar
- vision
- vitals
- vitamin
- vitamins
- vyvanse
- waist
- walk
- wall
- want
- wart
- warts
- wash
- water
- waxing
- ways
- weakness
- wear
- weed
- week
- weeks
- weight
- wendys
- what
- whats
- wheat
- when
- where
- whey
- which
- while
- whip
- whipped
- whipping
- whiskey
- white
- whole
- wild
- will
- wine
- wipe
- wisdom
- with
- within
- without
- women
- womens
- wont
- work
- working
- workout
- works
- worst
- wrinkles
- yawn
- year
- years
- yeast
- yellow
- yoga
- yogurt
- your
- yourself
- zone
- zyrtec
- zzzquil